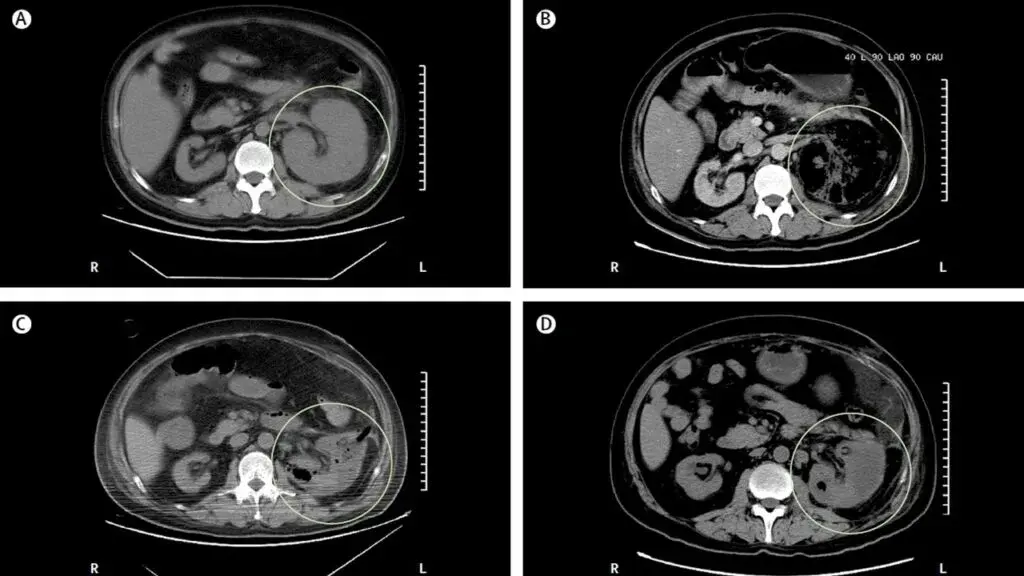
Um homem de 39 anos foi internado no hospital com história dia com dor no flanco esquerdo e tontura há um dia. Paciente tinha antecedentes de diabetes mal controlado e nefrolitíase obstrutiva à esquerda. Após avaliação inicial a TC do abdome mostrou aumento do tamanho do rim esquerdo devido gás no parênquima renal, espaço perirrenal e veia renal. Foi instituído tratamento com antibióticos e realizado de cirurgia aberta (elevado risco de embolização). O paciente evoluiu com melhora clínica e radiológica, TC de controle após 04 dias já mostrou redução do gás e do volume renal. Qual é o diagnóstico?

**O que podemos aprender com esse caso?**
Caso típico de **pielonefrite enfisematosa** publicado no The Lancet ([link](https://www.thelancet.com/journals/lancet/article/PIIS0140-6736(19)30771-8/fulltext)). Os casos geralmente são decorrentes de infecção por _Escherichia coli_ em pacientes com diabetes descompensado e obstrução do trato urinário. A glicose é um substrato para proliferação de bactérias fermentadoras (_Enterobacteriaceae_), que produzem gás carbônico e hidrogênio. **Fica a dica do elevado risco de embolização**. Quando presente obstrução, a desobstrução da via urinária é mandatória. Nos casos com gás no parênquima ou espaço perirrenal, é sugerido fortemente drenagem percutânea, caso o gás fique limitado ao espaço coletor (pielite isolada) o manejo com antibióticos é suficiente.