
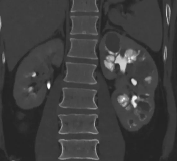
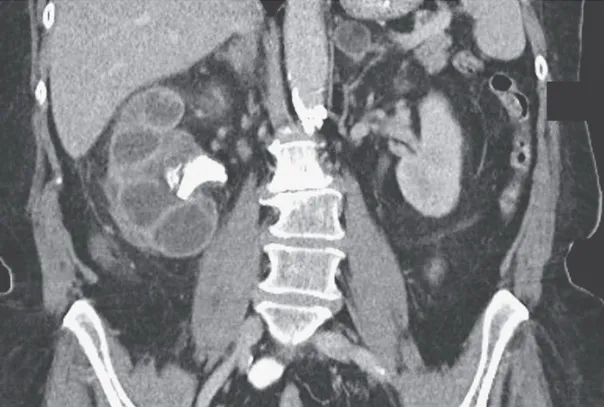
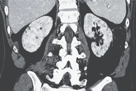
Uma causa incomum de hematúria glomerular intermitente!
Hematúria pós infecção, caso clínicos para auxiliar no entendimento de causas glomerulares comuns e raras...
Valkercyo Feitosa
4 meses atrás


Highlights ASN 2025: Novas Fronteiras em IgA, descontinuação de Hemodiálise e o uso do Ômega-3 nos dialíticos






















.webp)




























