
Hemodiafiltração exige ajuste de dose dos medicamentos? O que um caso de vancomicina pode nos ensinar
A hemodiafiltração pode aumentar significativamente a depuração de diversos medicamentos, levando a subdosagem quando usamos protocolos baseados em hemodiálise convencional. Entender a farmacocinética da droga e a prescrição da HDF é essencial para evitar falha terapêutica e ajustar corretamente as doses.
Luís Sette
2 dias atrás


Resistência a diuréticos na insuficiência cardíaca: aumentar o diurético de alça ou associar tiazídico?









































































































































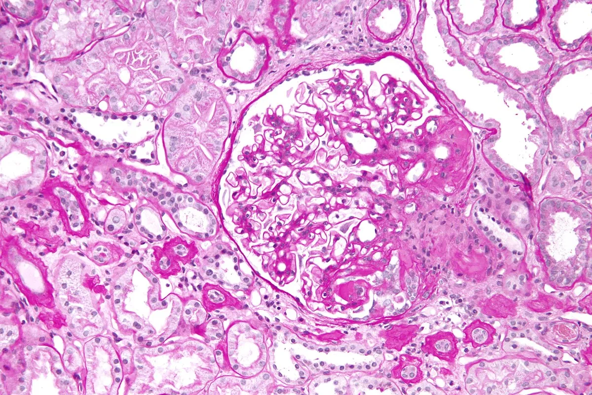
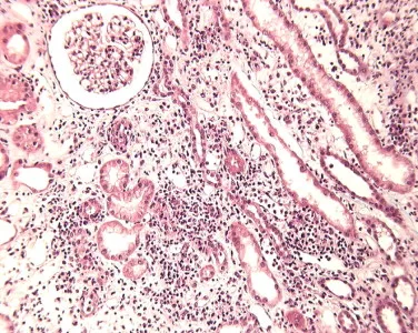
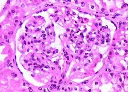
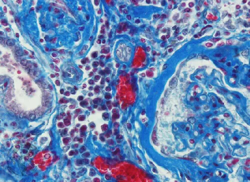
Injúria Renal Aguda (revisão Lancet 2025)
































































































.webp)







.webp)


.webp)









.webp)

























































































