Este caso clínico (link) descreve uma mulher de 31 anos, sem histórico médico relevante, que evoluiu com choque hemorrágico refratário após uma dilatação e curetagem devido óbito fetal com 17 semanas de gestação. O quadro inicial incluiu coagulação intravascular disseminada (CIVD) com níveis de creatinina sérica elevados para 2,0 mg/dl (basal 0,6 mg/dl). A paciente foi transferida para a unidade de terapia intensiva, foi tratada com transfusões de sangue, plasma fresco congelado, crioprecipitado, e medicamentos como ocitocina e misoprostol. Devido refratariedade do quadro a paciente foi tratada com embolização da artéria uterina.
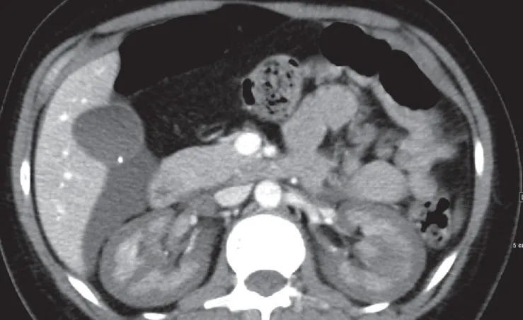
Nos dias seguintes, a creatinina sérica aumentou para 13 mg/dl, acompanhada de anúria. Realizado tomografia computadorizada de abdome (imagem da capa do post) que revelou sinais de necrose cortical renal (NCR), sinais de reversão renal (córtex hipodenso quando comparado a medula renal) com presença de um trombo na veia cava inferior e na veia gonadal direita. A paciente iniciou hemodiálise devido aos sintomas urêmicos e permaneceu dependente da diálise por cerca de dois meses. Após seis meses, a creatinina sérica caiu para 2,4 mg/dl, com um clearance de creatinina de 33 ml/min e proteinúria subnefrótica de 300 mg/d. A paciente continuo em tratamento conservador com diuréticos de alça em baixa dose e anticoagulação.

A NCR é uma forma grave e frequentemente irreversível de lesão renal isquêmica, resultante de uma redução prolongada da perfusão arterial renal. Esta condição é geralmente associada à CIVD e apresenta-se com início abrupto de oligúria ou anúria, algumas vezes acompanhada de hematúria macroscópica e dor no flanco. A TC com contraste mostrou a preservação da medula renal e a hipocaptação cortical (rim reverso), confirmando o diagnóstico de NCR.
Pontos Essenciais de Aprendizado:
1. A Necrose Cortical Renal: Deve ser considerada no diagnóstico diferencial de lesão renal aguda oligúrica, especialmente em contextos de complicações obstétricas.
2. A grande maioria das pacientes necessitam de diálise. No longo prazo, aproximadamente 30% a 50% dos pacientes com NCR progridem para doença renal crônica terminal dialítica. A área cortical acometida (focal ou difusa) pode fornecer informações prognósticas.
3. Diagnóstico por Imagem: TC ou ressonância magnética (RM) são os exames de imagem de escolha para o diagnóstico preciso da NCR.
4. Aproximadamente 85% do fluxo renal é direcionado para o córtex, sendo uma região de alta demanda energética. Uma queda na tensão de oxigênio durante estados de hipotensão hemorrágica é, portanto, mais grave no tecido cortical em comparação com o tecido medular, tornando o córtex mais suscetível à lesão isquêmica.
O reconhecimento precoce da necrose cortical renal em pacientes com lesão renal aguda e choque hemorrágico, especialmente no contexto obstétrico, é crucial. A utilização de exames de imagem apropriados e o manejo adequado da insuficiência renal podem reduzir a morbidade, além de fornecer melhor suporte ao prognóstico.
Caso clínico: [https://journals.lww.com/kidney360/fulltext/2024/09000/acute_kidney_injury_in_a_young_woman_after.25.aspx](https://journals.lww.com/kidney360/fulltext/2024/09000/acute_kidney_injury_in_a_young_woman_after.25.aspx)